Microscopy and Laboratory
Investing in better Diagnostics: Our new skills & In-house Technology
We’re delighted to share some exciting updates from the practice!
Bridie our wonderful RVN has just completed a course in Microscopy and has some fresh new knowledge that she can share with the rest of the team and put to good use here with our state of the art equipement. This additional training allows us, as a practice, to interpret samples more accurately and make quicker, more confident decisions about your pets health!
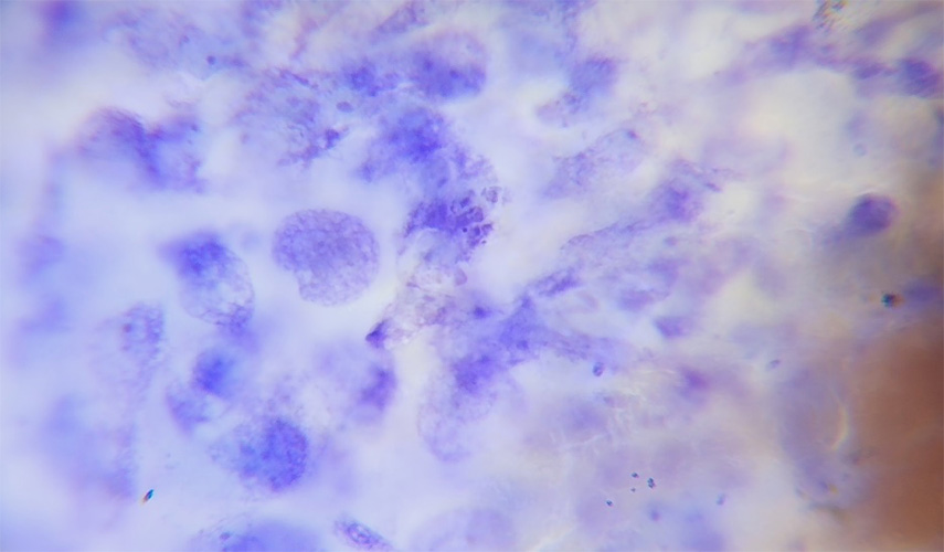
Microscopy: A closer look for faster answers
Enhanced microscopy skills mean we can now get on-the-spot information from a variety of conditions, including:
Cytology for ear and skin disease – Identifying yeast, bacteria, inflammatory cells and parasites so we can tailor treatment accordingly
Mass and lump identification – Distinguishing between benign lesions, infections and suspicious growths without delay
Urine sediment analysis – Spotting crystals, bacteria and other abnormalities that help diagnose urinary tract issues early.
Faecal egg worm count (FEWC) – Most commonly seen in large animal and equine practice, we are now trying to incorporate this into small animal practice. FWEC helps us targetour treatments by identifying different species of worms and ensuring we are not over treating our pets.
Our In-house Haematology & Biochemistry machines
Alongside this new training, we have updated our haematology and biochemistry blood machines! Our laboratory equipment allows us to run comprehensive blood test right here in the practice. This means:
- Faster results during illness or emergencies
- More accurate monitoring of long-term conditions
- Pre-anaesthetic blood testing
- Improved ability to detect early changes in organ function
Together, these advancements help us provide more precise, timely care for your pets – often during the very same appointment. We’re excited to bring this enhanced level of diagnostics to our patients and continue giving them the highest standard of veterinary care.
If you’d like to learn more or have questions about our diagnostic services, feel free to get in touch!



